Основна информация

Речник/нови понятия:
Псилоцибин: вещество, което предизвиква халюцинации
Симбиоза – съвместно живеене на два или повече организма
Осмотрофия – (осмо – вода; трофия – хранене) хранене, чрез поглъщане на околна вода и приемане на разтворените в нея вещества
Хифи – тънки нишки, чрез които се хранят гъбите
Биоремедиация – процес, при който се използват живи организми, най-често микроорганизми, гъби, растения или техните ензими, за да се разграждат, премахват или неутрализират замърсители и токсични вещества от почвата, водата или въздуха. Този метод е част от екологичното инженерство и се прилага за възстановяване на замърсени места по природосъобразен и устойчив начин.
За изтегляне: Въпросник
Какво са гъбите?
Това са организми, които принадлежат към едно от петте царства, на които са разделени всички живи същества в природата – Царство Гъби. Това е отделно царство, защото тези живи организми не са растения, тъй като не извършват фотосинтеза, и не са животни, въпреки че имат някои сходства с тях. Гъбите изпълняват жизненоважни функции на взаимодействие, възпроизвеждане и хранене. Те получават хранителни вещества, като разграждат органичната материя около тях. Те могат да бъдат намерени почти навсякъде:
- в горите, по поляните;
- в домовете ни, в някои храни;
- дори по човешкото тяло.
Важно е да знаем за гъбите, че има видове, които са полезни за човека (те не хапят, а напротив – помагат му), но има и видове, които са отровни и дори смъртоносни (те наистина „хапят“).
Интересен факт е, че от отровните гъби хората биха могли да извличат полза. Така, например, с помощта на Бясната гъба (Psilocybe spp.), която съдържа психоактивното вещество псилоцибин (което предизвиква халюцинации) се извършват изследвания за лечение на психични разстройства като депресия и посттравматично стресово разстройство (ПТСР).
Друг интересен факт е, че съществуват гъби, чиято стойност може да надхвърли 2000 евро за килограм. Това са Белите трюфели – подземни гъби, които растат в симбиоза с корените на дървета като дъб, леска, бук и бор. Те са известни със своя силен аромат и високата си кулинарна стойност. За да се намерят трюфели, се използват следните методи – специално обучени кучета търсачи или прасета (впоследствие прасетата са счетени като неподходящи, тъй като изяждали вече намерените трюфели).
Как се хранят гъбите?
Гъбите се хранят чрез процеса на осмотрофия (осмо = вода, трофия = хранене), което означава, че те поглъщат хранителни вещества чрез поглъщане на околна вода и разтворени в нея вещества. Този процес се осъществява чрез хифи – множество тънки нишки, които образуват гъбното тяло и се пронизват в подложката, откъдето абсорбират необходимите им хранителни вещества. Има три основни начина, по които гъбите се хранят:
Сапрофити
Сапрофитите са гъби, които се хранят с мъртви органични материали, като мъртви растения и животни. Те разграждат тези материали и освобождават хранителни вещества обратно в почвата, което помага за поддържането на здравето на екосистемите.
Паразити
Паразитните гъби живеят върху живи организми и се хранят с техните тъкани. Те могат да причиняват болести на растенията, животните и дори на хората.
Симбионти
Симбионтите образуват взаимноизгодни връзки с други организми. Например, микоризните гъби живеят в корените на растенията и помагат на растенията да абсорбират вода и минерали от почвата. В замяна, гъбите получават захари, произведени от растенията чрез фотосинтеза.
Гъбите, които „не хапят…“

- Служат за храна на човека – богати са на протеини, витамини и минерали
Такава подобна гъба е от вида „шийтаке“ (или още наричана „императорска гъба“), която произхожда от планинските райони на азиатските страни Япония, Корея и Китай. Едни от най-интересните ползи от шийтаке са, че чрез нея хората могат да намалят своето тегло, укрепят костите и състоянието на кожата си, намалят телесните възпаления, дори да предотвратят преждевременното стареене.
Фиг. 1. Гъба “Шийтаке”
Източник: https://upload.wikimedia.org/wikipedia/commons/thumb/6/64/Shiitakegrowing.jpg/220px-Shiitakegrowing.jpg
- Участват в разлагането на органичната материя – дори някои видове гъби са способни да разграждат пластмаса, което може да бъде полезно за решаването на проблема със замърсяването.

Такава гъба, например, е гъбата Pestalotiopsis microspora, за която има данни, че е способна да разгражда пластмаса, по-специално полиуретан. Тази гъба е открита в амазонската дъждовна гора и може да използва полиуретан като единствен източник на въглерод, което я прави потенциално много полезна за биоремедиация* на пластмасовите отпадъци.
Фиг.2. Гъба “Pestalotiopsis microspora”
Източник: https://funguys.co.za/wp-content/uploads/2023/03/pestalotiopsis-microspora.jpg
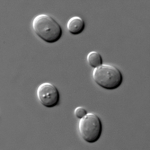
- Спомагат производството на различни храни и напитки (хляб, сирена, вино, бира) – дрожди/квасни гъбички и благородни плесени.

Дрождите са вид едноклетъчни гъби, които са известни със способността си да ферментират захари и да произвеждат алкохол и въглероден диоксид. Те се използват широко в производството на хляб, бира и вино. Един от най-известните видове дрожди е Saccharomyces cerevisiae, който се използва в пекарството и пивоварството.
Фиг. 3. Дрожди/Квасни гъбички
Източник: https://upload.wikimedia.org/wikipedia/commons/thumb/d/d9/S_cerevisiae_under_DIC_microscopy.jpg/1024px-S_cerevisiae_under_DIC_microscopy.jpg
Автор: By Masur – Собствена творба, Public Domain, https://commons.wikimedia.org/w/index.php?curid=1069017
Гъбите, които „хапят…“

- са токсични/отровни за човека
Най-токсичната гъба в света е зелена мухоморка (Amanita phalloides), известна още като “ангел на смъртта”. Тази гъба съдържа смъртоносни токсини, като аматоксини, които могат да причинят тежко увреждане на черния дроб и бъбреците, често водещи до смърт при консумация. Дори малко количество от тази гъба може да бъде фатално, ако не се приложи навременна медицинска помощ.
Фиг.4. Гъба “Зелена мухоморка”
Източник: https://ast.wikipedia.org/wiki/Amanita_phalloides#/media/Ficheru:Amanita_phalloides_1.jpg
- причиняват болести по растения и хора

Едно от най-удобните места за разпространение на гъби и гъбични образувания са… обувките. Влага, топлина, липса на светлина, наличие на органична материя/тъкан – какво по-добро място за гъбите от това. Кожата на краката може да бъде прекрасен дом на всяка гъбичка. Ако човек пренебрегва добрата хигиена на краката, то той може да се превърне в „най-добрия“ приятел на гъбичните инфекции.
Фиг. 5. Признаци на гъбична инфекция на краката
Източник: https://bg.exodermin.eu/images/статии/1944/гъбички%20по%20кожата%20на%20краката.jpg
Гъбите са изключително интересни организми, които играят важна роля в природата. Те не могат да хапят, но трябва да бъдем внимателни при събирането и консумацията им. С правилното знание и предпазни мерки можем да се насладим на гъбите безопасно и да оценим тяхната роля в нашите екосистеми.

